-
[スタッフブログ, 治療について, 症例紹介, 衛生士ブログ]
ホワイトニング症例のご紹介②
2026年2月24日(火)
こんにちは!
東京都練馬区にある、にじいろマイクロスコープセラミック歯科医院です。
本日は、当院で行っておりますホワイトニングの症例をご紹介いたします。
≪ホワイトニング症例紹介≫
(50 代男性/オフィスホワイトニング 3 回施術)
【治療内容】
• オフィスホワイトニング(チェアタイム約 90 分×3 日間)
※1~2 週間の間隔を空けてオフィスホワイトニングを 3 回施術
【費用(税込)】
• オフィスホワイトニング
通常価格 ………… ¥38,500
継続割引(1 年以内)……… ¥27,500×2 回
• 総額:93,500 円
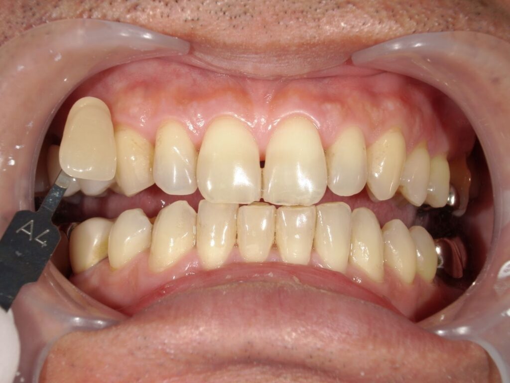
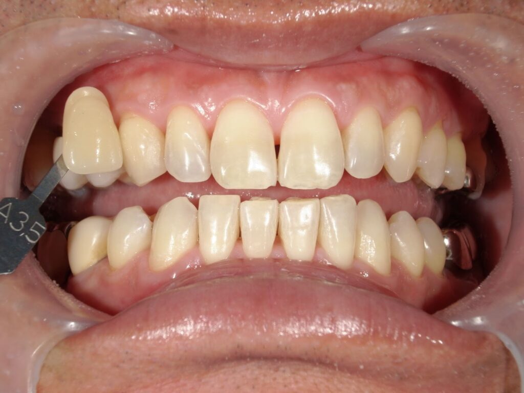
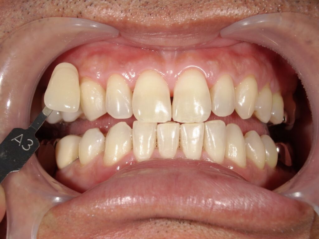
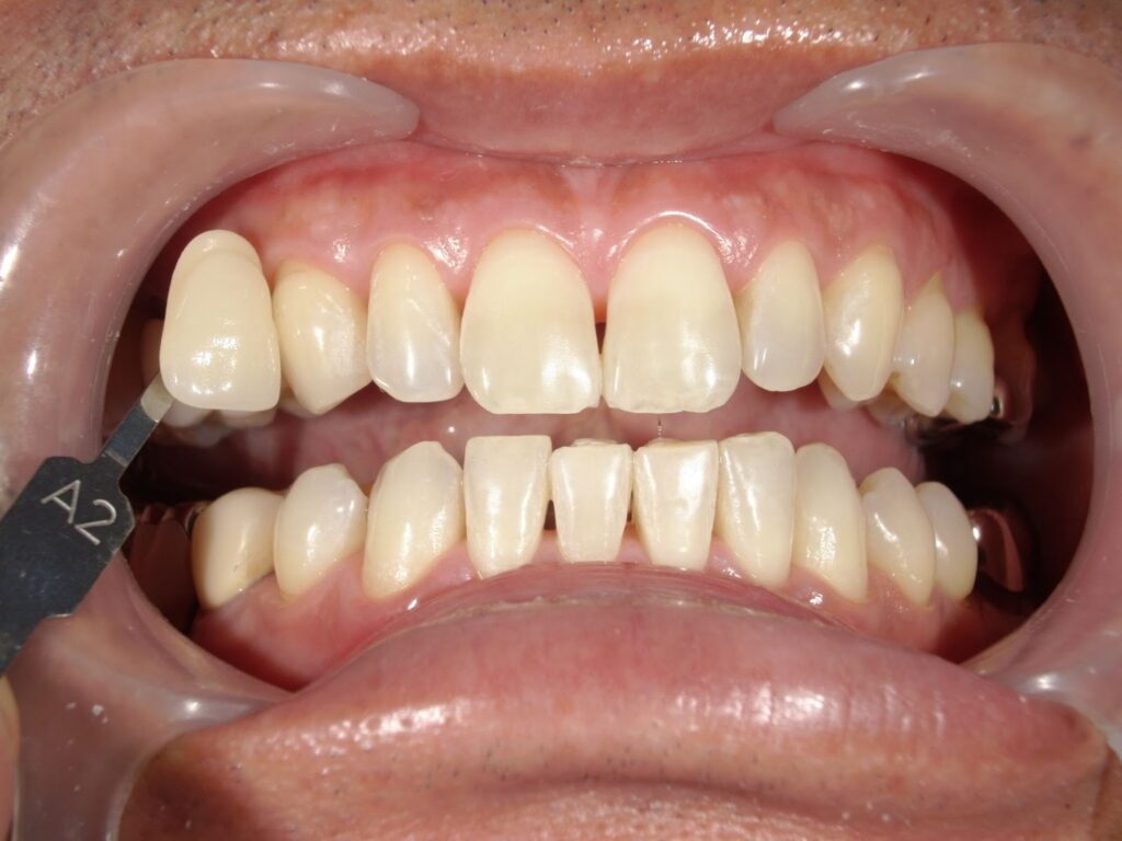
【術前・術後の写真】
※写真は患者様の同意を得て掲載しています。無断転載を禁じます。
術前

オフィスホワイトニング 1 回目

オフィスホワイトニング2回目

オフィスホワイトニング 3 回目

A4→A2
10 段階明るくなりました!
患者様のご希望により、今後はホームホワイトニングも併用し、デュアルホワイトニングで更なる白さを目指します!
【リスク・注意事項】
• 一時的な知覚過敏や歯肉の刺激が出ることがあります。
• ホワイトニングの効果には個人差があります。
• ホワイトニングは永久的なものではなく、徐々に後戻りします。
※にじいろマイクロスコープセラミック歯科医院では、患者様お一人おひとりのお口の状態やご希望に合わせて、最適なホワイトニングプランをご提案しております。
※詳しい治療内容や費用、リスク等についてはどうぞお気軽にお問い合わせください。


